Artrose (slijtage) van de enkel

Bovenste en/of onderste spronggewricht

Inhoudsopgave

Wat is het

ANATOMIE

Het enkelgewricht wordt gevormd door drie botten:

  1. het scheenbeen (de tibia)

  2. het kuitbeen (de fibula)

  3. het sprongbeen (de talus)

Het scheenbeen is het grootste en sterkste bot van het onderbeen. Het kuitbeen is kleiner en smaller en ligt aan de buitenzijde van de enkel. De verbinding tussen het scheen- en kuitbeen wordt syndesmose genoemd. Het enkelgewricht, het bovenste spronggewricht, is een scharniergewricht waardoor de voet omhoog kan buigen (dorsiflexie) en omlaag kan buigen (plantairflexie). Door deze beweging kunnen we goed lopen en ook bijvoorbeeld makkelijk een trap op en af.

Mensen met klachten van het enkelgewricht geven dan ook vaak pijn aan of een instabiel/onzeker gevoel bij het traplopen, maar soms ook al bij normaal lopen.

ARTROSE VAN DE ENKEL

Het is belangrijk onderscheid te maken tussen het bovenste spronggewricht en het onderste spronggewricht. Slijtage kan op beide niveaus plaatsvinden.

Bij het bovenste spronggewricht ontstaan er vaak botuitsteeksels (= osteofyten). Met name aan de voorzijde van de enkel ontstaan osteofyten, waardoor een beklemming kan ontstaan bij het omhoog bewegen van de enkel: de enkel stagneert. Ook kan er een klein stukje van de uitsteeksels afbreken, dit stukje kan gaan zweven in de enkel en kan ook een blokkade van de enkel geven.

De slijtage van de enkel kan zowel aan de voor- als achterzijde van de enkel zitten. Vaak staat de enkel een beetje uit het lood, waardoor bijvoorbeeld de binnenzijde van de enkel meer belast wordt in vergelijking met de buitenzijde. De slijtage in de enkel is dan ook vaak ook niet overal even erg.

Wat is het onderste spronggewricht?

Rondom het enkelgewricht zitten sterke ligamenten die het gewricht stabiel houden. Het sprongbeen (de talus) rust op het hielbeen (de calcaneus). Het gewricht dat gevormd wordt tussen deze twee botten heet het onderste spronggewricht (het subtalaire gewricht).

Dit gewricht zorgt ervoor dat de enkel naar buiten en naar binnen kan kantelen. Deze beweging is bijvoorbeeld nodig als wij op een oneffen terrein lopen. De beweging van het onderste spronggewricht is ingewikkeld en verschilt van persoon tot persoon. Het gewricht beweegt in meerdere richtingen; dit is niet alleen erg handig bij lopen op oneffen terrein, maar het zorgt er ook voor dat de impact op de hiel bij lopen vermindert.

Wat kunt u er zelf aan doen?

lifestyle aanpassingen

Gewichtsverlies 

  • Als overgewicht een factor is, kan gewichtsverlies helpen om de druk op de enkel te verminderen.

Activiteitsaanpassingen

  • Het vermijden van activiteiten die de enkel belasten kan helpen om pijn en slijtage te verminderen.

Gebruik maken van een enkelbrace

fysiotherapie

Oefentherapie 

  • Specifieke oefeningen kunnen helpen om de spieren rond de enkel te versterken en de flexibiliteit te verbeteren. Dit kan helpen om de druk op de gewrichten te verminderen en de stabiliteit van de enkel te verbeteren.

Manuele therapie

  • Manuele technieken zoals mobilisatie en manipulatie kunnen helpen om de beweeglijkheid van de enkel te verbeteren en spanningspunten te verminderen.

Wat kan de specialist voor u doen?

aangepaste schoenen of ortheses

Aangepaste schoenen 

  • Een orthopedisch schoenmaker kan aangepaste schoenen maken die speciaal zijn ontworpen om de druk op de pijnlijke gewrichten te verminderen. Deze schoenen kunnen helpen om de beweging van de gewrichten te beperken en zo pijn te verminderen.

Ortheses

  • Een orthese zoals een enkelbrace, eventueel op maat gemaakt, die de enkel kan ondersteunen en stabiliseren. Ortheses kunnen helpen om de beweging van de enkel te beperken en de druk op de gewrichten te verminderen.

injecties

Corticosteroïden 

  • Injecties met corticosteroïden kunnen helpen om ontsteking en pijn te verminderen. Deze injecties worden meestal direct in het gewricht gegeven en kunnen snel werkzaam zijn, maar ze hebben ook beperkingen in de langetermijngebruik.

Hyaluronzuur

  • Injecties met hyaluronzuur kunnen helpen om de smering van het gewricht te verbeteren en zo de pijn en stijfheid te verminderen. Dit kan een langduriger effect hebben dan corticosteroïden.

Wat voor operaties zijn er mogelijk?

Afhankelijk van de klachten en mate van de slijtage/arthrose kunnen twee type operaties plaatsvinden

Middels een kijkoperatie verwijderen van de botuitsteeksels

Dit kan wanneer er nog een goede beweging van de enkel is en er duidelijk pijn van de beklemming is.

De slijtage die al aanwezig is zal niet verdwijnen, maar over het algemeen is zeker 80% van de patiënten tevreden met het behaalde resultaat. De uitkomst er erg afhankelijk van de mate van de slijtage/artrose en de stand van de enkel.

Deze ingreep kan indien nodig gecombineerd worden met hechten van de buitenste enkelband, dit zorgt voor meer stabiliteit in de enkel

1.

Middels een kijkoperatie verwijderen van de botuitsteeksels

Dit kan wanneer er nog een goede beweging van de enkel is en er duidelijk pijn van de beklemming is.

De slijtage die al aanwezig is zal niet verdwijnen, maar over het algemeen is zeker 80% van de patiënten tevreden met het behaalde resultaat. De uitkomst er erg afhankelijk van de mate van de slijtage/artrose en de stand van de enkel.

Deze ingreep kan indien nodig gecombineerd worden met hechten van de buitenste enkelband, dit zorgt voor meer stabiliteit in de enkel

Nabehandeling van de kijkoperatie

  • Een drukverband voor 5 dagen.

  • Na 5 dagen starten met fysiotherapie.

  • Belasten mag direct postoperatief op geleide van de pijnklachten, echter over het algemeen bent u zeker 3 maanden aan het herstellen

1.

2.

Het gewricht vervangen door het plaatsen van een prothese

  • Een enkelprothese kan alleen voor het bovenste spronggewricht.

  • Dit is maar voor een beperkte groep zinvol, er worden er in Nederland jaarlijks dan ook niet veel geplaatst.

  • Bij slijtage van het onderste spronggewricht is alleen vastzetten oftewel een arthrodese een mogelijkheid.

Het gewricht vervangen door het plaatsen van een prothese

  • Een enkelprothese kan alleen voor het bovenste spronggewricht.

  • Dit is maar voor een beperkte groep zinvol, er worden er in Nederland jaarlijks dan ook niet veel geplaatst.

  • Bij slijtage van het onderste spronggewricht is alleen vastzetten oftewel een arthrodese een mogelijkheid.

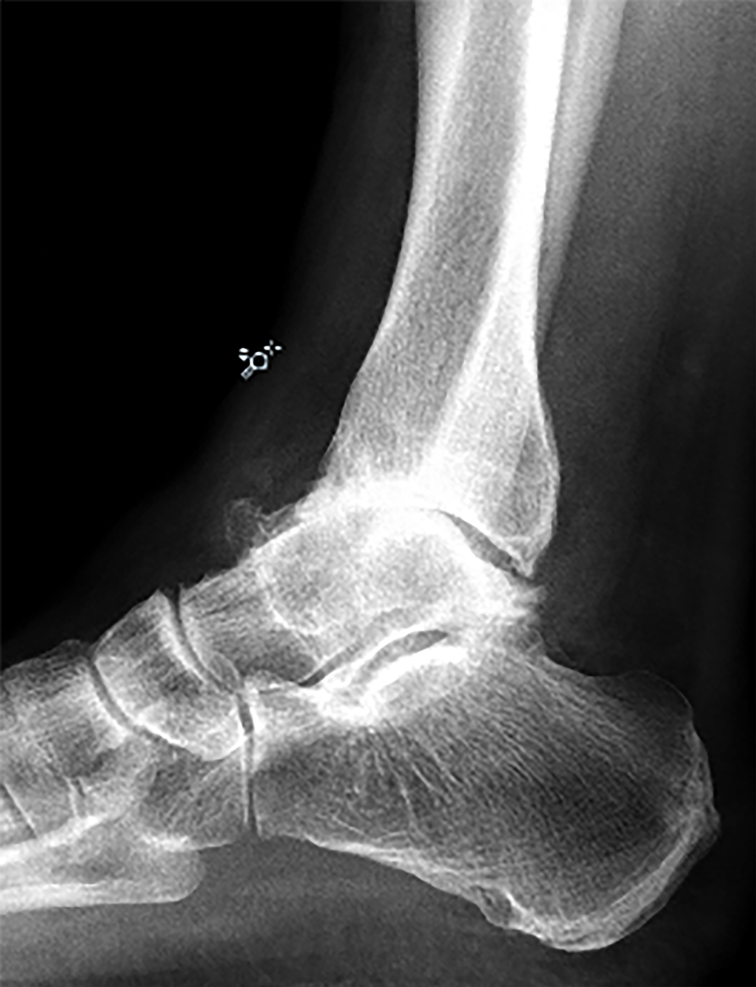
Op de foto's is duidelijke slijtage/artrose aanwezig van het bovenste spronggewricht

2.

Het gewricht vastzetten door middel van een arthrodese

Een enkelarthrodese kan meestal via een arthroscopische (kijkoperatieve) techniek worden uitgevoerd. Het voordeel hiervan is dat er minder grote wonden ontstaan en minder kans op een wondinfectie is. Ook is het herstel na de ingreep sneller en gunstiger, en is er een grotere kans dat de arthrodese vastgroeit. Hiermee bedoelen we dat de twee botstukken aan elkaar groeien.

Tijdens de operatie wordt eerst het bot opgeruwd en daarna vastgezet met twee, soms drie, schroeven in een neutrale stand. Het voordeel van de arthrodese is dat de pijn verdwijnt en dat de enkel goed belastbaar is.

Het nadeel is dat er minder beweging mogelijk is in het gewricht.

Nabehandeling van een arthrodese

Dit is hetzelfde voor het vastzetten van het onderste en/of het bovenste spronggewricht. Na de operatie krijgt u een achterspalk voor twee weken; hiermee mag u niet belasten.

Na twee weken krijgt u een loopgips, waarmee u van week twee tot en met week zes voor vijftig procent mag belasten. Van week zeven tot en met week tien mag u honderd procent belasten met uw gips.

Na tien weken gaat het gips eraf en wordt er een röntgenfoto gemaakt om te beoordelen of de enkel al voldoende is vastgegroeid. In totaal dus tien weken gips; dit is lang en valt vaak tegen, met name in de eerste zes weken.

Om deze periode zo makkelijk mogelijk te maken zijn er een paar hulpmiddelen die u zou kunnen aanschaffen of eventueel huren:

Met beide hulpmiddelen kunt u het been belasten zonder de enkel te belasten.

Voor meer informatie hierover: neem contact op met uw behandelend arts of fysiotherapeut.

“Wat kan ik nog nadat mijn enkel - het bovenste sprongewricht - is vastgezet?”

Dit is een van de meest gestelde vragen, vooral als het om het bovenste spronggewricht gaat. Veel mensen zijn bang dat ze na de operatie niet meer gewoon kunnen lopen.

Een aantal dingen is erg belangrijk om te weten. Vaak is er al zo veel slijtage en pijn aan de enkel dat de enkel tijdens het lopen niet meer meebeweegt voordat hij vastgezet wordt. Er zit dan nog wel beweging in het gewricht wanneer de enkel niet belast wordt, maar die beweging wordt tijdens het lopen niet gebruikt. De voet wordt vaak scheef op de grond gezet (Charlie's Chaplin-achtige stand), en er vindt geen afwikkeling in de enkel meer plaats.

Om een indruk te krijgen van wat u nog wel en niet kunt na het vastzetten van de enkel, kunt u eerst met een harde enkelbrace gaan lopen. Door deze te gebruiken krijgt u een idee wat een vaste enkel voor u betekent. Als u in deze periode liever met de brace loopt dan zonder, betekent dit meestal dat u liever een vaste dan een pijnlijke, nog ietwat beweeglijke enkel heeft.

Wanneer het bovenste spronggewricht is vastgezet, kan de voet vaak deels compenseren door meer beweging in de middenvoet, maar ook door beweging van het onderste spronggewricht. Wel geven mensen aan dat traplopen met een vast bovenste spronggewricht lastiger is.

Verder hangt het er vooral vanaf wat iemand zelf deed vóór de ingreep. Er zijn mensen die kunnen hardlopen met een vaste enkel, maar u moet niet met hardlopen beginnen als u dat vóór de ingreep ook niet deed.

“En als het onderste sprongewricht is vastgezet?”

De bewegingen van het onderste spronggewricht zijn anders en misschien wel veel complexer dan die van het bovenste spronggewricht. Bij slijtage van dit gewricht beweegt het gewricht vaak al minder en staat het hielbeen niet meer recht onder het sprongbeen. Bij het vastzetten van dit gewricht is het dan ook de bedoeling om de stand zo veel mogelijk te corrigeren.

Dit is niet altijd mogelijk, bijvoorbeeld doordat er een veranderde vorm van het hielbeen is na een breuk van dit bot. Omdat er vóór de ingreep nauwelijks nog beweging is, zal dit daarna ook niet veranderen.

Een nadeel van het vastzetten van het onderste spronggewricht is onder andere dat bij het lopen de druk onder de hiel vaak op één plek komt; dit hoeft geen probleem te zijn. Lopen op oneffen ondergrond kan wat lastig zijn na het vastzetten van het onderste spronggewricht, evenals snelle draaibewegingen met de voet.

Over het algemeen bestaat er bij een operatie kans op een wondinfectie, wondgenezingsstoornissen, of een trombosebeen. Om dit te voorkomen krijgt u tijdens de gipsperiode bloedverdunners. Ook kunnen chronisch pijnsyndroom (CRPS) en doofheid rond de wondjes voorkomen.

Complicaties

Voor de arthrodese geldt in het bijzonder dat er altijd een kans bestaat dat het niet voldoende vastgroeit; dan is een langere periode met gips soms nodig of soms zelfs een nieuwe ingreep.

Ook kan de stand minder optimaal zijn dan verwacht.

De enkel wordt in een zo neutraal mogelijke stand vastgezet, maar dit is vaak een andere stand dan waarin deze oorspronkelijk stond. Vaak moet het been daaraan wennen.

Ook kan het gebeuren dat het niet helemaal lukt om de enkel in een optimale stand vast te zetten; dit kan te maken hebben met de botkwaliteit of eerdere operaties. Vaak is dit op te lossen met een kleine aanpassing in de schoen; soms is een aanvullende operatie nodig.

Het is goed om te weten dat er een verhoogde kans op het niet vastgroeien van de arthrodese is wanneer u rookt. Uit studies blijkt bovendien dat het beloop van de ingreep ongunstiger kan zijn bij een laag vitamine D-gehalte.

Veel gestelde vragen

Opmerking: dit is algemene informatie. Neem bij vragen of onzekerheden altijd contact op met uw behandelend arts voor persoonlijk advies.

  • U mag niet met gips autorijden, tenzij het om de linker enkel gaat en u een automatische transmissie rijdt; dan mag u wel autorijden.

  • In theorie zou dat mogen na ongeveer 6 weken, mits u zonder pijn het gips voldoende kunt belasten. Het is echter geen echte aanrader. Bij voorkeur dus niet fietsen. Natuurlijk mag u wel op een hometrainer fietsen.

  • Na twee weken komt u op de gipspoli. Daar verwijderen ze het eerste gips, het gips waar u niet op mag staan. Als de wonden er goed uitzien, krijgt u een loopgips.

    Na tien weken komt u weer terug op de poli. Dan wordt eerst het gips verwijderd, daarna een röntgenfoto gemaakt en vindt een controle bij de arts plaats.

    Als alles goed is, mag u belasten met uw eigen schoenen.

  • Het kan zijn dat u voor de operatie een steunzool heeft gekregen, vaak om de stand van de enkel te corrigeren. Na de operatie staat de enkel weer goed, dus hoeft u de steunzolen niet meer te gebruiken.

    Bij klachten kunt u eventueel nieuwe steunzolen laten aanmeten. Dit geldt ook voor orthopedische schoenen.

    Na de ingreep is het natuurlijk goed om te gaan lopen en dan te bepalen of een steunzool of aangepaste schoen nog nodig is.

  • Nee, dat hoeft niet per se, maar het komt regelmatig voor dat de schroeven klachten geven. Dit kan door de positie van de schroeven komen; de huid is daar dun en kan gevoelig blijven.

    Het is mogelijk om de schroeven te verwijderen wanneer alles goed is vastgegroeid. Over het algemeen geldt: liever pas na een jaar en ze moeten er minimaal een half jaar in zitten. Natuurlijk moet het wel goed te zien zijn (bijvoorbeeld op een röntgenfoto) dat de enkel goed is vastgegroeid.

Previous
Previous

Flexor Hallucis Longus Transfer

Next
Next

Acute instabiliteit