nl
en

Slijtage van de enkel: Enkelarthrose

De anatomie van het enkelgewricht

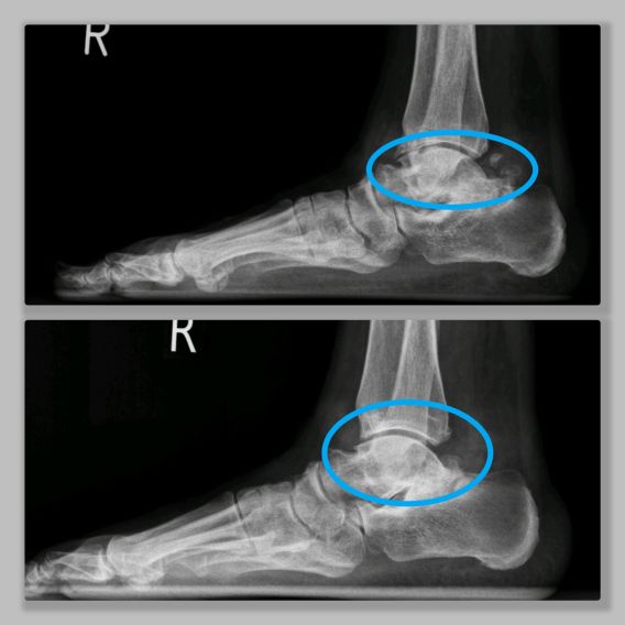
Het enkelgewricht wordt gevormd door drie botten: het scheenbeen (de tibia), het kuitbeen (de fibula) en het sprongbeen (de talus). Het scheenbeen is het grootste en sterkste bot van het onderbeen. Het kuitbeen is een stuk kleiner en smaller en zit aan de buitenzijde van de enkel. Het enkelgewricht (het bovenste spronggewricht) is een hevel waardoor de voet omhoog kan buigen en naar beneden kan buigen. Door deze beweging kunnen wij goed lopen en ook bijvoorbeeld makkelijk een trap op en af lopen. Mensen met klachten van het enkelgewricht hebben dan ook vaak pijn aan of een onstabiel of onzeker gevoel bij het traplopen maar soms ook al bij het normale lopen. Rondom het enkelgewricht zitten sterke banden , de ligamenten, die het enkelgewricht stabiel maken. Het sprongbeen, de talus, rust op het hielbeen, de calcaneus. Het gewricht dat gevormd wordt tussen deze twee botten heet het onderste spronggewricht, het subtalaire gewricht. Dit gewricht zorgt ervoor dat de enkel naar buiten en binnen kan kantelen. Deze beweging is bijvoorbeeld nodig als wij op een oneffen terrein lopen.

Het is belangrijk onderscheid te maken tussen het bovenste spronggewricht en het onderste spronggewricht. Slijtage kan op beide niveaus plaatsvinden.

Bij het bovenste spronggewricht ontstaan er botuitsteeksels, met name aan de voorzijde van de enkel: hierdoor kan er een beklemming ontstaan bij het omhoog bewegen van de enkel. De enkel stagneert, ook kan er een klein stukje van deze uitsteeksels afbreken, dit stukje kan dan gaan zweven in de enkel en kan ook een blokkade van de enkel geven. De slijtage van de enkel kan zowel aan de voor- als de achterzijde van de enkel zitten. Vaak staat de enkel een beetje uit het lood, hierdoor wordt bijvoorbeeld de binnenzijde van de enkel meer belast in vergelijking met de buitenzijde. De slijtage in de enkel is dan vaak ook niet overal even erg.

Afhankelijk van de klachten kunnen drie types operaties plaatsvinden:

  1. middels een kijkoperatie verwijderen van de botuitsteeksels. Dit kan wanneer er nog een goede beweging van de enkel is en er duidelijk pijn van de beklemming is. De slijtage die al aanwezig is zal niet verdwijnen. Zeker 80% van de patiënten tevreden met het behaalde resultaat.

Nabehandeling: vijf dagen lang een drukverband, daarna starten met fysiotherapie. Belasten mag direct  na de operatie. Afhankelijk van de pijn na de operatie mag u de  enkel belasten. Wanneer u geen pijn heeft mag u uw gehele gewicht op de enkel zetten. Wordt de enkel erg dik, dan is het wel verstandig de krukken wat meer te gebruiken. Over het algemeen bent u drie maanden aan het herstellen.

  1. Wanneer de slijtage erger is en de enkel stijver is geworden bestaat de behandeling uit of het gewricht vastzetten met schroeven dat noemen we een arthrodese. Of er kan een prothese geplaatst worden in het enkelgewricht. Een enkelprothese is maar voor een beperkte groep zinvol, er worden er in Nederland dan jaarlijks ook niet veel geplaatst. Daarom plaatst binnen de Bergmankliniek in Naarden alleen dr.JJ Wiegerinck. Bij twijfel of u in aanmerking komt voor een prothese is een bezoek aan hem natuurlijk altijd een optie.
  1. een enkelarthrodese kan meestal via een kijkoperatie techniek, het voordeel hiervan is dat er minder grote wonden ontstaan en minder risico is op een wondinfectie. Daarnaast is er uit literatuur duidelijk geworden dat het bovenste spronggewricht na een arthrodese middels een kijkoperatie beter vastgroeit. Soms staat de enkel echter zo scheef  dat in plaats van een kijkoperatie techniek een snee wordt gemaakt.

Het voordeel van de arthrodese is dat de pijn weg is en dat de enkel goed belastbaar is. Veel mensen kunnen prima sporten en ook weer autorijden na een goed geslaagde enkelarthrodese. In de periode voor de operatie wordt er op de gipskamer een op maat gemaakte enkelbrace aangemeten. Door hiermee te lopen is een goede indruk te krijgen wat het inhoudt een 'vaste enkel'. Voor veel mensen met forse slijtage is het laten vast zetten van het gewricht een grote stap, waarbij soms ten onrechte wordt gedacht dat er dan weinig meer mogelijk is. Over het algemeen is de slijtage van de enkel al zo erg dat er in het gewricht weinig beweging meer mogelijk is, na het vastzetten is er dan minder verleis van de beweging dan vooraf soms wordt gedacht.

 

Het grootste nadeel van de operatie is dat de bordelen aan elkaar vast moeten groeien dit duurt lang daarom is de nabehandeling lang.

Nabehandeling: na de operatie krijgt u een achterspalk. U mag uw voet twee weken lang niet belasten. Daarna krijgt u een loopgips, daarmee mag u van week 2 tot week 7 uw voet tot 50% belasten. Van week 7 tot en met week 10 mag u uw voet 100% belasten met uw gips om. Na tien weken gaat het gips af en wordt er een nieuwe röntgenfoto gemaakt om te beoordelen of de enkel al voldoende is vastgegroeid.

Complicaties: Er is altijd een risico op een infectie, dit betekent dat er een bacterie in de enkel terecht kan komen. Als dit optreedt moet de enkel opnieuw worden geopereerd en is vaak behandeling met antibiotica nodig. Het risico op infectie ligt onder de 1%. Daarnaast bestaat het risico op een trombosebeen, dit betekent dat er in een bloedvat een bloedstolsel ontstaat. Omdat er een lange periode met gips nodig is, is het noodzakelijk om na de operatie antistollingsmiddelen te nemen, vaak gaat dit middels een injectie.
Voor de arthrodese geld in het bijzonder dat er altijd een kans bestaat dat het enkelgewricht niet voldoende vast groeit, dan is een langere periode met gips soms nodig of zelfs een nieuwe ingreep.

De stand kan minder optimaal zijn dan verwacht. Dit is vaak een andere stand dan waar deze in stond. Vaak moet het been daar aan wennen. Ook kan het gebeuren dat het niet helemaal lukt om de enkel in een optimale stand vast te zetten, dit kan met de botkwaliteit of met eerdere operaties te maken hebben. Vaak is het op te lossen met een kleine aanpassing in de schoen, soms is een aanvullende operatie nodig.