nl
en

De stugge platvoet

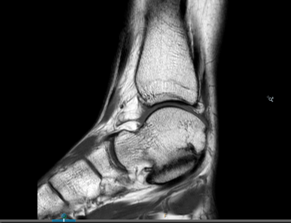
Een van de oorzaken van de stugge platvoet is de ‘tarsale coalitie’. Dit betekent dat de botten van de achtervoet niet goed zijn ontwikkeld, ze zitten niet los van elkaar zodat er een gewricht ontstaat, maar zijn aan elkaar vast gegroeid. Deze tarsale coalitie ontstaat al vroeg in de ontwikkeling en is waarschijnlijk al bij de geboorte aanwezig. Uit studies blijkt dat er mogelijk een erfelijke component is. Bij een tarsale coalitie ontwikkelen de gewrichten van de achtervoet zich niet goed. Er ontstaat een verbinding tussen de botten in plaats van een mooi gewricht. Over het algemeen ontstaat de verbinding tussen het hielbeen en het sprongbeen, de talocalcaneaire coalitie, of tussen het hielbeen en het scheepvormige botje, de calcaneonaviculare coalitie. Het kan ook op andere plekken voorkomen, maar dat is erg zeldzaam. Deze coalities kun je op een gewone röntgenfoto zien bij een kind vanaf een jaar of negen (dit is afhankelijk van de ontwikkeling van de groei van het kind). Als het op een gewone röntgenfoto niet goed te zien is, maar er wel een vermoeden is van een coalitie, wordt een CT-scan of een MRI-scan gemaakt.

De vergroeiing tussen het hielbeen en het scheepvormige botje, de calcaneonaviculare coalitie, bestaat vermoedelijk al bij de geboorte van het kind. De botten van een kind verbenen in de loop der jaren en elk botje heeft een andere tijd nodig om te verbenen. Hierdoor zijn in de eerste levensjaren de botten van kinderen veel flexibeler. Voor de achtervoet geldt dat deze vaak volledig ‘verbeend’ is tussen het 8ste en 14de levensjaar, wat dan ook betekent dat de klachten pas dan optreden. Door de verbening is de kanteling van de achtervoet niet goed mogelijk en kan een kind klachten krijgen van zwikken, pijn en stijfheid. Lang niet alle kinderen krijgen klachten van de coalitie!

Bij klachten wordt vaak in eerste instantie gekozen voor een niet-operatieve behandeling zoals een tijdelijk gips, aanpassing van de activiteiten of aanpassingen aan de schoenen. Als dat niet helpt kan gekozen worden voor een operatie. Een coalitie kan om twee redenen klachten geven. De eerste is dat de twee botten wel een beetje aan elkaar vast zijn gegroeid maar dat er nog steeds beweging mogelijk is. Dit kan goed pijn veroorzaken, op een MRI scan zie je dan ook vaak vocht in het bot rondom de coalitie. De andere reden van pijnklachten is dat de twee botten in een verkeerde stand aan elkaar vast gegroeid zitten.

Bij aanhoudende pijn wordt er meestal voor gekozen om de verbinding op te heffen. Dit heeft een gunstig effect bij 80% tot 90% van de patiënten, waarbij ruim 85% ook weer gaat sporten na verloop van tijd. Deze operatie maakt meer kans op succes bij jonge tieners dan bij oudere tieners en jongvolwassenen. Een andere mogelijkheid is het operatief volledig laten vastzetten van het gewricht.

De verbening tussen het hielbeen en het sprongbeen, talocalcaneaire coalitie, is al in 1948 beschreven. Deze botten verbenen rond het twaalfde levensjaar. De klachten en de niet-operatieve (conservatieve) therapie zijn van beide coalities hetzelfde. Ook bij deze coalitie geldt dat indien het mogelijk is in eerste instantie geprobeerd zal worden de verbening die is ontstaan te verwijderen.

De operatie

Deze kan op twee manieren: via een open techniek of via een kijkoperatie. Indien mogelijk zal de kijkoperatietechniek gebruikt worden.

Voor de operatie ligt u op uw zij, er worden twee gaatjes aan de buitenzijde van de enkel gemaakt. Door middel van een camera en een beeldscherm wordt er geopereerd, dus er wordt niet alleen gekeken maar ook wat gedaan! De verbening tussen de twee botten zal worden opgeheven. In het Engels wordt een kijkoperatie ‘key hole surgery’ genoemd en dit dekt veel meer de lading van de operatie. Bij de enkel maken wij gebruik van een kijker (de arthroscoop) en speciale instrumenten. Hierdoor kan door twee kleine gaatjes van vaak minder dan één centimeter de operatie worden uitgevoerd. Het voordeel van de techniek is dat je heel mooi kunt zien waar de botten aan elkaar verbeend zijn, dus ook waar ze weer los moeten. Dit komt omdat de camera het beeld vergroot. Het nadeel is dat de operatie wel wat langer zal duren. In de literatuur is de uitkomst van beide technieken gunstig.

Na de operatie wordt er een drukverband om de enkel aangelegd voor vijf dagen, de voet mag direct belast worden, ook met het verband om. De reden om niet op de voet te gaan staan is pijn, bij veel pijn is het beter om krukken te gebruiken.

Na vijf dagen en indien de pijn het toelaat zal begonnen worden met oefenen; met name balansoefeningen en het losmaken van het gewricht zijn in deze fase belangrijk. Wanneer de enkel weer slank en rustig is, kan begonnen worden met spierversterkende oefeningen.

Het herstel is erg afhankelijk van de persoon en van de leeftijd, maar over het algemeen zal deze toch wel drie maanden in beslag nemen. In deze maanden is het belangrijk om aan de balans van de enkel en de voet te werken.